Real Results

Our Smile Gallery

Discover the transformative power of modern dentistry. Browse our real patient stories and see the difference a healthy smile can make.

BEFORE
AFTER

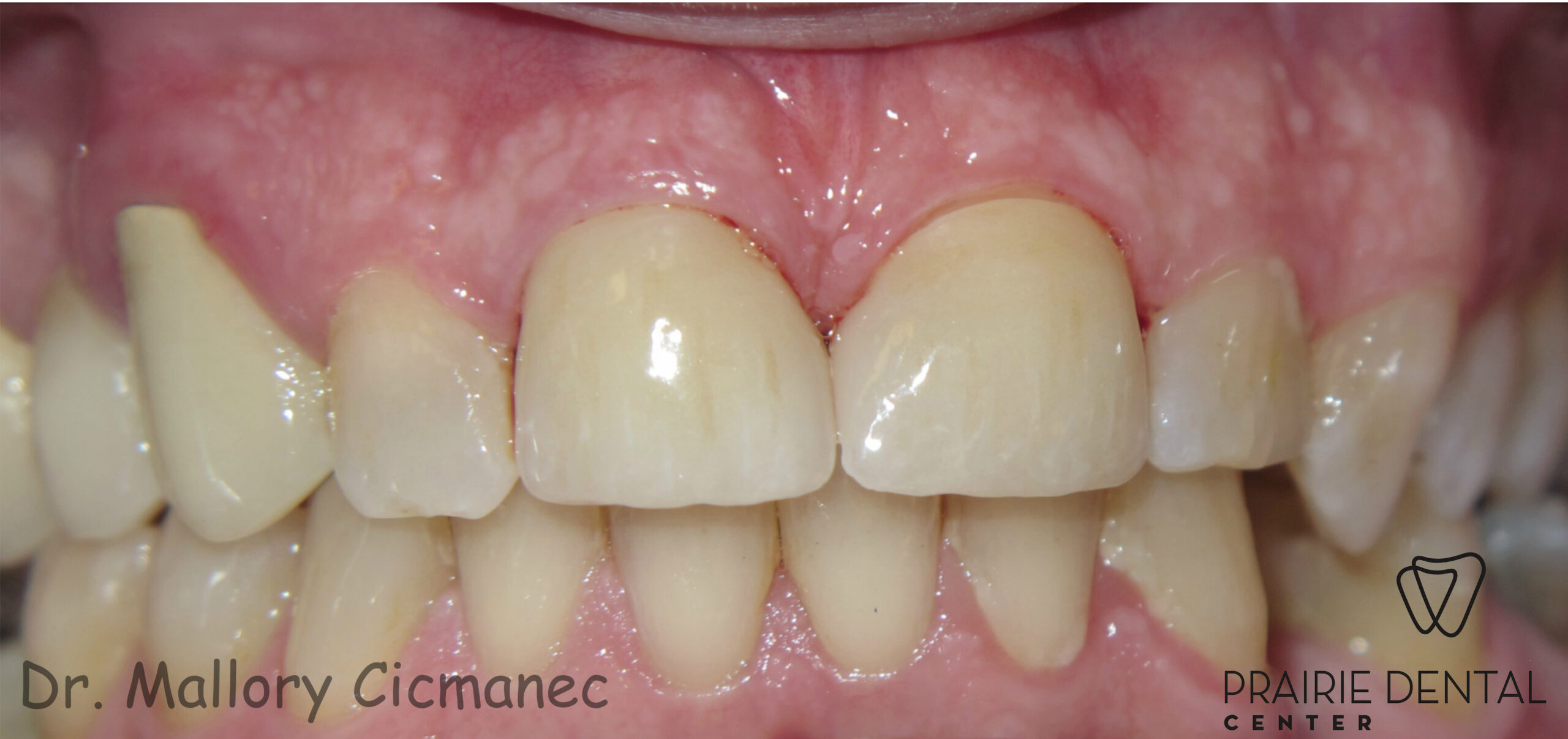
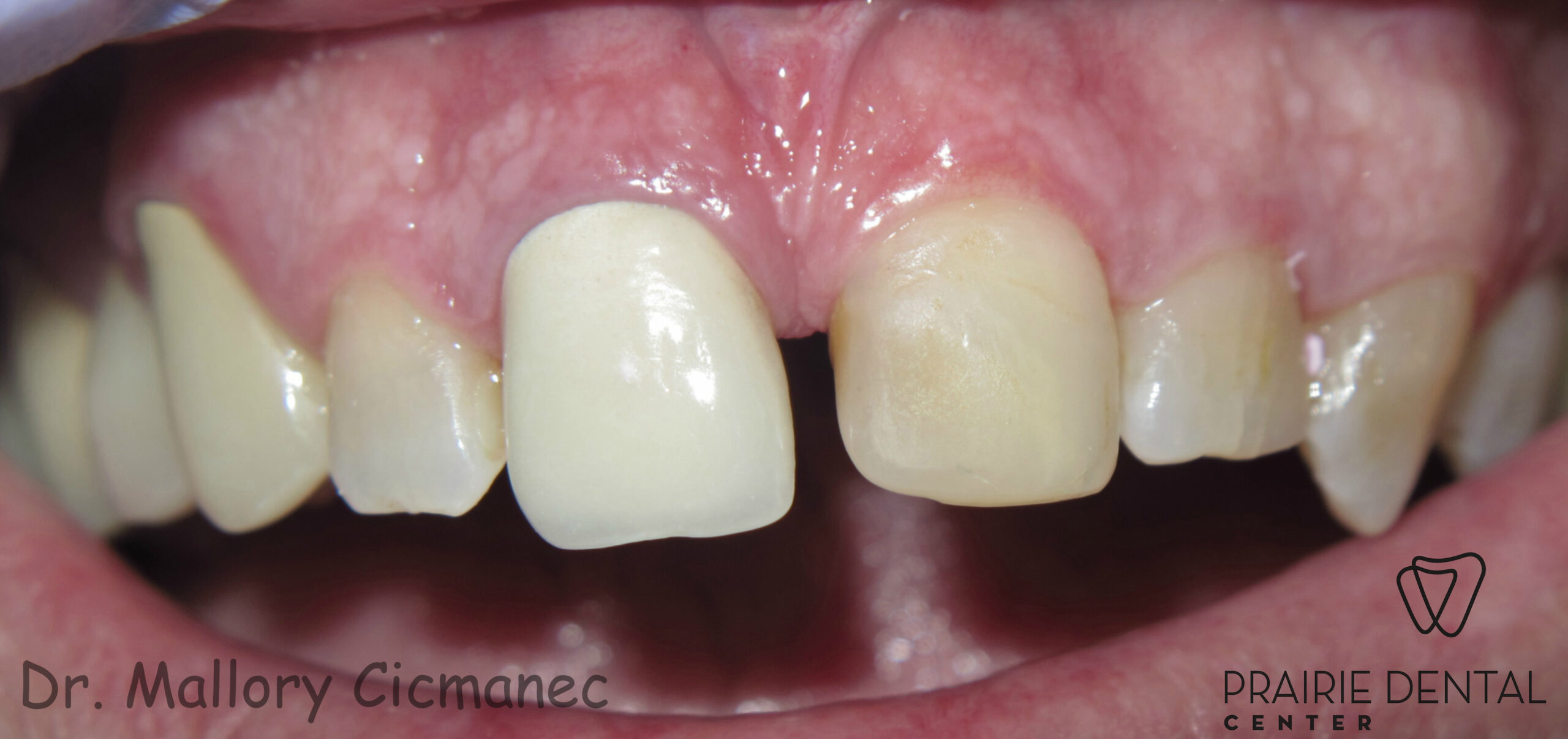
Full maxillary crowns designed to restore strength, function, and a natural-looking upper smile.

BEFORE
AFTER

Conservative restorations on teeth #7–10 to repair damage and enhance the appearance of the front teeth.

BEFORE
AFTER

Gingivectomy performed in quadrants 1–3 to reshape the gumline and improve smile symmetry in areas #7–9.

BEFORE
AFTER

Crowns placed on teeth #6–11 to restore durability, alignment, and a confident smile.

BEFORE
AFTER

Custom crowns on teeth #7–10 for improved function and a seamless, natural aesthetic.

BEFORE
AFTER

Comprehensive crown restorations on teeth #2–12 to rebuild the smile with long-lasting strength and balance.

BEFORE
AFTER

Crowns on teeth #6–11 providing the same comprehensive restoration of form, function, and appearance.

BEFORE
AFTER

Restorations on teeth #7–10 to repair imperfections and refresh the smile.

BEFORE
AFTER

Restorations on teeth #8–11 to correct chips and spacing for a smoother, more uniform smile.

BEFORE
AFTER

Restorations on teeth #8–11 to correct chips and spacing for a smoother, more uniform smile.

BEFORE
AFTER

Restorations on teeth #7–10 to repair imperfections and refresh the smile.

BEFORE
AFTER

Restorations on teeth #8–11 to correct chips and spacing for a smoother, more uniform smile.

Contact Information

Learn more about our clinic and doctors and why they are trusted by so many families in our community.

ADDRESS:

7000 S Santa Rosa Court, Sioux Falls, SD, United States, 57108

Office Hours:

Ask a Question

If you have any questions, you can contact us. Please, fill out the form below.